ULTRANOWOCZESNE OBRAZOWANIE CBCT
Planmeca wprowadziła do swojej rodziny tomografów nowy model Viso G1, obejmujący pole badań o wymiarze 11x11 cm.
Viso G1 został stworzony w oparciu o najnowocześniejsze technologie obrazowania 3D, a także o wieloletnie doświadczenie w tworzeniu najlepszych tomografów z rodziny Planmeca.
Obrazowanie 3D z Viso G1 spełnia wymagania codziennej stomatologii ogólnej, endodoncji i implantologii, od zdjęć panoramicznych, aż do 3D i TMJ. Aparat oferuje wszystkie niezbędne programy do obrazowania stomatologicznego.
PODSTAWA TO GŁOWICA
Aparat jest przystosowany do ciągłej pracy przy dużym obciążeniu, głowica o napięciu 90 kV za każdym razem zapewnia doskonałą jakość obrazu, wiarygodność i niezawodność – w każdych warunkach obrazowania.
DOTYK, KTÓRY WSZYSTKO ZMIENIA
Panel dotykowy daje ogromną swobodę w sterowaniu funkcjami tomogrfau. Obsługa jest tak prosta i intuicyjna jak w przypadku touchpada. Panel ProTouch daje możliwość komunikacji z komputerem lub tabletem. Wybór rodzaju badania jest szybkie i łatwy dostęp do indywidualnych ustawień.
OPTYMALIZACJA PRACY
Viso G1 podobnie jak w przypadku pozostałych tomogrfaów stomatologicznych serii Planmeca Viso 3D, posiada kilka autorskich rozwiązań optymalizujących pracę:
Planmeca CALM® - rewolucyjny algorytm Planmeca do korekcji artefaktów ruchowych
Planmeca Ultra Low Dose™ - znacznie obniża skuteczne dawki dla pacjentów zgodnie z zasadą ALARA bez uszczerbku dla jakości obrazu diagnostycznego.
KOREKCJA ARTEFAKTÓW PORUSZEŃ PLANMECA CALM™
Inteligentny algorytm wielokrotnych poruszeń. Eliminuje potrzebę powtórzeń ekspozycji, usuwa efekt poruszeń pacjenta. Funkcja doskonale sprawdzi się w przypadku obrazowania pacjentów mających trudności z pozostaniem w bezruchu.
OBRAZOWANIE Z ULTRANISKĄ DAWKĄ PROMIENIOWANIA
Tomograf Viso™ G1 korzysta z unikalnego oraz sprawdzonego protokołu obrazowania Planmeca Ultra Low Dose™. Pozwala on lekarzom uzyskiwać obrazy 3D w znacznie niższej dawce promieniowania dla pacjenta, bez statystycznego obniżania jakości obrazu.
ELASTYCZNE POZYCJONOWANIE
Planmeca Viso G1 jest wyposażony w uproszczony system laserowy umożliwiający łatwe pozycjonowanie pacjenta bez żadnego wysiłku. Pole widzenia jest wybierane bezpośrednio z poziomu wirtualnego pacjenta na panelu sterowania i można je dowolnie dostosowywać po wykonaniu obrazowania próbnego. Panel można wyświetlić również na stacji roboczej, zwiększając wygodę i umożliwiając personalizację przepływu pracy. Dzięki otwartej konstrukcji pacjent ma dużo miejsca i zawsze jest zwrócony twarzą do operatora co zapewnia kontakt wzrokowy oraz zmniejsza dyskomfort podczas badania.
OBRAZOWANIE 3D NIGDY NIE BYŁO TAK PROSTE
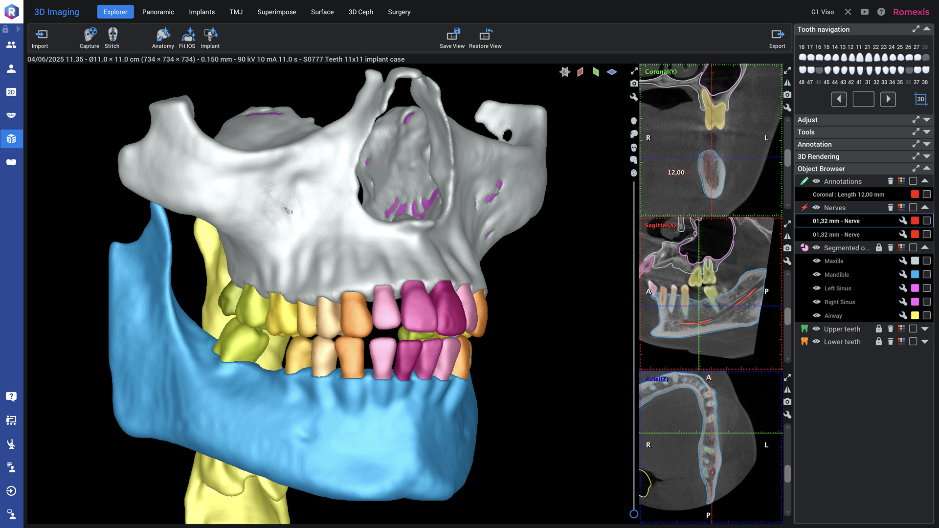
Badanie tomograficzne CBCT to technologia obrazowania RTG, polegająca na wykonaniu zdjęć pacjenta w 2D pod różnymi kontami. W oparciu o projekcje 2D tworzy się obraz wolumetryczny 3D. Dzięki zaawansowanemu oprogramowaniu Romexis można przeglądać obrazy pod każdym kątem, w tym płaszczyznę osiową, czołową, strzałkową oraz przekroje.
CEFALOSTAT – OCZYWIŚCIE!
Tomograf Planmeca Viso G1 opcjonalnie może być wyposażony w ultraszybki cefalostat typu One-shot, dla celów analizy cefalometrycznej i planowania leczenia ortodontycznego. Krótki czas wykonywania zdjęć eliminuje ryzyko ruchu pacjenta, co ma ogromne znaczenie przy badaniu dzieci i innych pacjentów, którym trudno jest pozostać w bezruchu.
PRECYZJA OBRAZOWANIA – TRYB ENDO
Rozdzielczość endodontyczna na poziomie 75 μm w tomografie Planmeca Viso G1 umożliwia doskonałą wizualizację nawet najdrobniejszych szczegółów anatomicznych. Wysoka jakość obrazu to idealny wybór w przypadku leczenia endodontycznego oraz w innych sytuacjach wymagających oglądania obszaru zainteresowania z bliska. Wybrane obrazy można dodatkowo poprawić, stosując opartą na sztucznej inteligencji funkcji optymalizacji szumów Planmeca NOA™.
INNOWACYJNE OPROGRAMOWANIE I FUNKCJONALNOŚĆ
Tomograf Viso G1 korzysta z bogatego doświadczenia producenta w zakresie oprogramowania jak i specjalistycznych narzędzi. Urządzenie współpracuje z cenionym Planmeca Romexis® typu all-in-one, które zawiera wszystkie narzędzia potrzebne do diagnostyki stomatologicznej i planowania leczenia. Natomiast nowe inteligentne narzędzia wspomagane sztuczną inteligencją AI wprowadzone w oprogramowaniu Romexis® 7 dodatkowo wspierają codzienne przepływy pracy stomatologów.
PLANMECA ROMEXIS® OPROGRAMOWANIE SPEŁNIAJĄCE WSZYSTKIE POTRZEBY
Planmeca oferuje najpotężniejszą platformę oprogramowania stomatologicznego na świecie Planmeca Romexis®. Oprogramowanie dzięki jednej, wspólnej bazie danych umożliwia wykonywanie, przeglądanie i obróbkę wszystkich typów danych, tj. obrazów 2D i 3D. Program jest wspólną platformą dla wszystkich urządzeń dostępnych w ofercie począwszy od CAD/CAM po aparaty rentgenowskie oraz unity stomatologiczne. Znajdzie swoje zastosowanie w gronie implantologów, endodontów, periodontologów, protetyków, ortodontów, chirurgów szczękowo-twarzowych i radiologów. Oprogramowanie pozwala z łatwością importować i eksportować obrazy 2D i 3D w standardowych formatach tj. JPEG, DICOM oraz STL. Możesz również odczytywać dane za pośrednictwem programów firm zewnętrznych.
SPECYFIKACJA TECHNICZNA:
Napięcie anody 60-90 kV
Prąd anody 1-14 mA
Ogniskowa 0,5 mm, anoda nieruchoma
Detektor obrazu - panel płaski
Pozyskiwanie obrazu - pojedynczy obrót o 200 stopni
Czas skanowania: 10-25 s
Zwykły czasy ekspozycji: 2-25 s
Obszar maksymalny w trakcie jednego skanowania: Ø11 x 11 cm
Wielkości obrazu [cm]
Ząb: Ø3 x 3 – Ø5 x 8
Zęby: Ø7 x 3 – Ø11 x 11
TMJ: Ø3 x 3 – Ø8 x 8
Wymagania dotyczące przestrzeni
Szerokość 116 cm
Głębokość 140 cm
Wysokość 159–236 cm
Masa 137 kg
Z cefalostatem:
Szerokość 198 cm
Głębokość 140 cm
Wysokość 159–236 cm
Masa 158 kg
PROMEDUS autoryzowany importer tomografów PLANMECA























